您好!欢迎访问710公海生物(青岛)有限公司网站!
基础医学科研服务者无忧 可视 高效 专业
全国咨询热线:17657166935
当前位置: 首页 > 科研服务 > 病理学检测 > 石蜡切片及染色
710公海

电话:17657166935

QQ:2301757537

地址:山东省青岛市城阳区上马街道河东路上马科技企业加速器202室

邮箱:longkesci@163.com

石蜡切片及染色

石蜡切片染色是组织学和病理学中的重要技术,它涉及将组织样本制成薄片,并通过特定的染料进行染色,以便在显微镜下观察细胞和组织的结构。

石蜡切片染色是一种在组织学和病理学中常用的技术,它涉及将组织样本制成薄片,并通过特定的染料进行染色,以便在显微镜下观察细胞和组织的结构。这个过程包括几个关键步骤:组织的固定、脱水、透明、浸蜡、切片、染色和封片。染色后的切片可以显示细胞内不同的细胞器及内含物以及不同类型的细胞组织,对于诊断疾病、研究细胞和组织的结构以及进行科学研究都非常重要。

石蜡切片染色实验步骤

1.取材与固定:首先从新鲜组织中取出所需的部分,并立即放入固定液中,如4%多聚甲醛,以保持组织的原始结构。

2.脱水:固定后的组织需要经过一系列不同浓度的酒精溶液处理,从低浓度到高浓度,最终达到无水乙醇,以去除组织中的水分。

3.透明:使用二甲苯等透明剂处理组织,以替换掉组织内的酒精,使石蜡能够更好地渗透。

4.浸蜡:将透明后的组织放入熔融的石蜡中浸泡,使石蜡渗入组织内部。

5.包埋:将浸蜡后的组织放入模具中,冷却固化形成蜡块。

6.切片:使用切片机将蜡块切成薄片,通常厚度为3-5微米。

7.贴片与烤片:将切片放在温水浴中展平,然后放置在恒温箱中干燥,以便蛋白质凝固。

8.脱蜡染色:将干燥后的切片放入二甲苯中脱蜡,然后用水化,最后进行染色。

9.染色:常用的染色方法包括苏木精-伊红染色(HE染色),其中细胞核被苏木精染成蓝紫色,细胞质被伊红染成粉红色。

10.脱水透明:染色后的切片需要再次脱水和透明,以便进行封片。

11.封片:使用树脂等材料封片,保护切片不受外界因素破坏。

石蜡切片染色应用领域

1.医学领域

病理学诊断:石蜡切片染色用于观察组织样本,帮助医生诊断癌症、炎症和其他疾病。

肿瘤研究:通过染色后的切片,可以观察肿瘤细胞的形态和生长模式,从而更好地理解肿瘤的生物学行为。

药物筛选:在药物开发过程中,石蜡切片染色可以用来评估药物对细胞和组织的影响。

2.生物学领域

组织结构研究:石蜡切片染色用于研究动植物的组织结构,包括细胞核、细胞质和细胞间质等。

发育过程研究:通过观察发育过程中的组织变化,石蜡切片染色有助于理解生物体的成长和发育机制。

遗传学研究:染色后的切片可以用于观察遗传性疾病患者的细胞或组织异常结构,为诊断提供依据。

3.农业领域

植物病理研究:石蜡切片染色用于研究植物的生理和病理变化,以及病虫害的诊断和防治。

作物育种:通过观察不同品种的植物组织结构,石蜡切片染色可以辅助选育出更优质的作物品种。

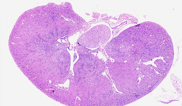
实验结果展示
石蜡切片技术服务

产品咨询

留言框

  • 您的单位:

  • 您的姓名:

  • 联系电话:

Services相关服务
 
710公海

    1. 网站地图